Клиновидный дефект
Клиновидный дефект получил такое названия исходя из своей формы. Внешне он представляет собой углубление в эмали около десны (в пришеечной части зуба) в виде клина. Чаще всего возникают такие дефекты на клыках и премолярах (малых коренных зубах) как верхней, так и нижней челюстей. Дно этого углубления может иметь цвет такой же, как и окружающие ткани зуба, а может быть пигментированным и иметь желтовато-коричневый или даже черный цвет.
Пациенты с подобным заболеванием могут не иметь никаких жалоб и не испытывать дискомфорта по этому поводу. Однако чаще всего пациентов беспокоит эстетический дефект, а также гиперчувствительность этого зуба (болевые ощущения при употреблении холодных или кислых продуктов и напитков).
Причины появления клиновидных дефектов недостаточно изучены. Чаще всего их появление вызывают местные факторы: неправильная техника чистки зубов, плохая гигиена полости рта, заболевания пародонта (гингивит, пародонтит), нарушения прикуса и повышенная нагрузка на зубы. Кроме того, отмечено, что клиновидные дефекты часто встречаются у людей с заболеваниями щитовидной железы.
Лечение заболевания зависит от стадии его развития и от жалоб, предъявляемый пациентом. В начальных стадиях рекомендуется устранить все возможные причины заболевания и провести глубокое фторирование эмали зубов. Если дефект приобретает значительные размеры, пациента беспокоят болевые ощущения во время еды и при чистке зубов, а также эстетический недостаток, то следует восстановить дефект пломбировочным материалом.
Патологическая стираемость эмали
Патологическая стираемость зубов (повышенное стирание зубов)— заболевание, при котором наблюдается интенсивная убыль твердых тканей в одном, в нескольких или во всех зубах.
Каковы причины данной патологии? Чаще всего вызывают стираемость зубов следующие факторы: перегрузка из-за утраты части зубов, неправильная конструкция зубных протезов, аномалии прикуса, бруксизм (скрипение зубами по ночам), профессиональные вредности, а также врожденно «ослабленная» эмаль зубов.
Симптомы патологической стираемости: уменьшение высоты коронковой части зуба, гиперестезия зубов (повышенная чувствительность, боль от холодного и кислого, боль при чистке зубов) и т.д. Зачастую, передние зубы, которые должны иметь острый режущий край, стираются и приобретают почти кубическую форму. Если лечение не проводится, то стирание быстро прогрессирует и все зубы становится значительно короче. В таких случаях наблюдаются признаки уменьшения нижней трети лица: складки у уголков рта, изменение височно-нижнечелюстного сустава, боль в области височно-нижнечелюстного сустава и языка, снижение слуха. Лечение повышенного стирания зубов может быть разным, в зависимости от типа и характера патологии. Самый важный фактор — выявление и устранение причин, приведших к повышенному стиранию, и осуществление восстановительного лечения. Восстановить прежнюю высоту зубов можно с помощью пломб, искусственных коронок и других ортопедических конструкций.
Гиперестезия зубов
Гиперестезией зубов называют их повышенную чувствительность. Она проявляется внезапными болями ноющего или острого характера в ответ на воздействие механических, термических или химических факторов. Например, чаще всего болевые ощущения могут возникнуть во время употребления холодных напитков, мороженного, сладких продуктов, во время чистки зубов и т.д. Причины самопроизвольных гиперестезий (не связанных со стираемостью эмали, кариесом и другими заболеваниями) до конца не изучены. Некоторые соматические заболевания могут стать причиной повышенной чувствительности зубов (например, психоневрозы, эндокринопатии, заболевания желудочно-кишечного тракта, нарушения обмена веществ и возрастные гормональные изменения).
При лечении гиперестезий обязательно проводят профессиональную гигиену полости рта и лечение всех кариозных очагов. Пациенту назначается специальная зубная паста для чувствительных зубов. Затем проводится глубокое фторирование эмали. Если данные мероприятия не приносят должного результата, то применяются специальные препараты, так называемые «десенситайзеры». Они выпускаются в разных формах — в виде лаков (наносимых стоматологом и засвечиваемых галогеновой лампой) или в виде гелей (которые пациент самостоятельно наносит на зубы в домашних условиях).
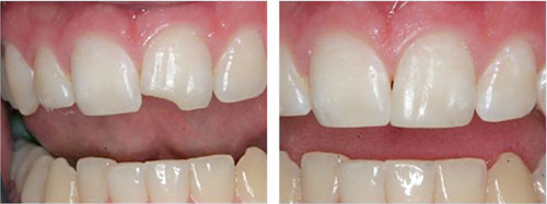
Сколы зубов
Скол зуба является еще одним очень распространенным повреждением в стоматологии. Сколы зуба могут быть различными по размеру. Небольшие сколы в пределах эмали не причиняют болевых ощущений, однако могут травмировать слизистую щек, губ и языка острыми краями. Если скол зуба значителен и проходит через дентин, то это может привести к воспалению нерва в зубе и причинять серьезную боль (если зуб «живой»). Если же в результате травмы, была полностью отколота коронковая часть зуба, то помимо болевых ощущений, может возникнуть кровотечение из зуба (опять же, если зуб «живой»).

Причинами сколов могут служить: травма (при падении, занятии спортом и т.д.), вредные привычки (привычка грызть ногти, грызть карандаш, раскусывать скорлупу орехов), нарушения прикуса и повышенная нагрузка на зубы, неграмотно поставленные пломбы, слишком большие по объему пломбы и т.д.
Варианты лечения скола зуба. Есть несколько методов восстановления сколов зубов, в зависимости от ситуации. Большинство небольших сколов зуба могут быть восстановлены при помощи пломбировочных материалов.
Если скол зуба является значительным, возможно, потребуется покрытие зуба виниром (это тонкая облицовка из керамики полностью покрывающая поверхность зуба придавая ему нужную форму). Если коронковая часть зуба в результате скола была значительно разрушена, то возможно восстановить ее при помощи культевой вкладки и искусственной коронки. В некоторых случаях невозможно спасти зуб (например, если трещина из коронковой части зуба переходит в корень), тогда зуб необходимо удалить.
Флюороз
Флюороз зубов — это хроническое заболевание, развивающееся в результате чрезмерного накопления фтора в организме человека. Чаще всего причиной флюороза является повышенное содержание фтора в питьевой воде, а также вредное воздействие фтора при работе на промышленных предприятиях.
Флюороз поражает прежде всего эмаль зубов. Особенно сильно восприимчивы к флюорозу зубов дети в период смены молочных зубов на постоянные.
Внешние признаки флюороза зубов: пятна и дефекты различной величины, формы и цвета, образующихся на поверхности эмали.

По степени тяжести заболевания выделяются три стадии развития флюороза зубов: легкая форма (на эмали отдельных зубов образуются небольшие пятна или полосы белого цвета), средняя форма (помимо светлых пятен появляются также пигментированные пятна желтого или коричневого цвета), тяжелая форма (в дополнение к пятнам, появляются дефекты эмали, стираемость зубов, возникают частые сколы).
Лечение флюороза в начальной стадии проводится обычно с помощью отбеливания зубов и дальнейшей реминерализацией тканей зубов (насыщение эмали кальцием и фосфором). Весьма эффективным препаратом для реминерализации тканей зубов является препарат «Ремодент», получаемый из костей животных и содержащий комплекс всех необходимых минеральных веществ (кальций, фосфор, магний, натрий, органические вещества и т.п.). Препарат наносится на поверхность зубов, его элементы проникают в зубную эмаль и постепенно нормализируют ее структуру. Для реминерализации необходимо провести курс аппликаций препарата (15-20 аппликаций).
Флюороз средней и тяжелой степеней требует как правило эстетической реставрации зубов с помощью керамических виниров или виниров из пломбировочных материалов. В особо тяжелых случаях (при значительном разрушении коронковой части зуба) может быть проведено ортопедическое лечение (протезирование зубов искусственными коронками).

